銀歯を白くするには?白く美しく仕上げる治療法を解説
こんにちは。尼崎市長洲西通、JR「尼崎駅」南口より徒歩1分にある歯医者「すずき歯科クリニック」です。

鏡を見たときに、銀歯が目立って気になったことはありませんか。特に笑ったときや話しているときに見える銀歯は、口元の印象を大きく左右します。最近では、見た目の美しさや健康面を重視して、銀歯を白くしたいと考える方が増えてきました。
銀歯は耐久性に優れ、保険診療で治療できるという利点がありますが、一方で金属アレルギーや審美性の問題が指摘されることもあります。
今回は、銀歯の基本的な知識から、それを白くするための方法、使われる素材の特徴、さらにはメリットと注意点までを丁寧に解説していきます。銀歯を白くしたいとお考えの方は、ぜひ参考にしてください。
銀歯とは

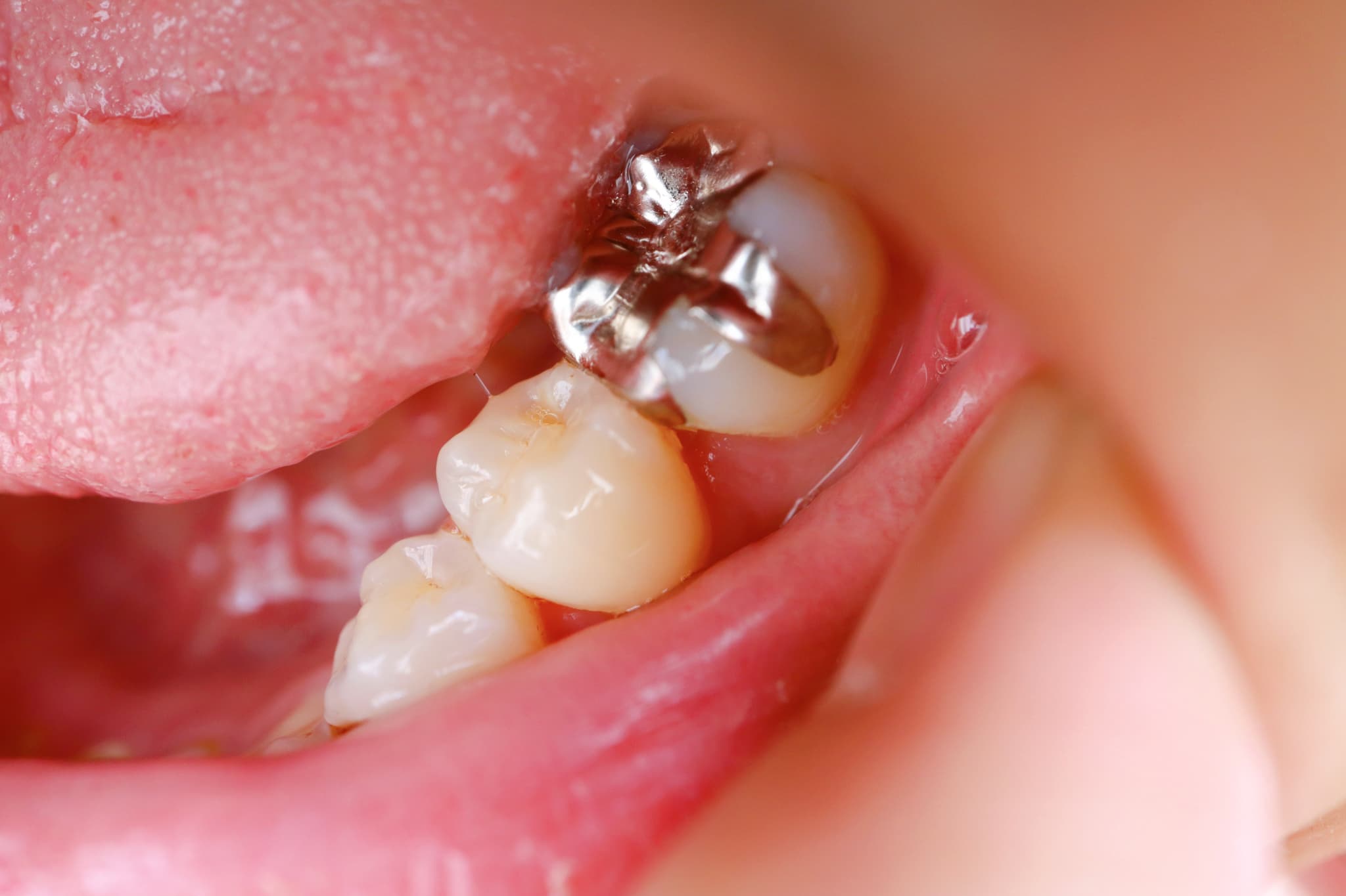
銀歯とは、虫歯などで削った歯の部分に詰め物や被せ物として使用される金属製の人工歯のことを指します。日本の歯科治療においてはとても一般的で、特に奥歯の治療で多く使われています。
使用される金属は金銀パラジウム合金と呼ばれる素材です。保険診療の対象となるため、低価格で治療を受けることができます。強度や耐久性に優れており、しっかりと噛む力を支えてくれるため、長期間の使用にも適しているかもしれません。
銀歯は、詰め物や被せ物として用途に応じて使い分けられており、多くの方が虫歯治療後に日常生活のなかで問題なく使用しています。
銀歯のままだとどんなリスクがある?

銀歯は強度があり、長く使える素材として広く知られていますが、そのまま使い続けるとさまざまなリスクが伴います。
銀歯を使い続けていると、まず気になるのが金属アレルギーの問題です。銀歯に含まれる金属成分が、少しずつ体に取り込まれることで、肌にかゆみや赤み、湿疹などの症状が出ることがあります。原因がわかりにくいため、長い間悩まされるケースも少なくありません。
また、銀歯と歯の境目には汚れがたまりやすく、そこから細菌が入り込んで再び虫歯になることもあります。
さらに、長年使っているうちに金属の表面が変色し、黒っぽく見えるようになることもあります。その結果、口を開けたときの見た目が気になり、コンプレックスを感じる方も多いようです。
こうしたリスクを避けるために、白い素材への置き換えを検討する方が増えているのです。
銀歯を白くする方法はある?

結論から言うと、銀歯を白い歯に変えることは可能です。一般的には、銀歯を取り外して、白い素材でできた詰め物や被せ物に交換するという方法が取られます。見た目を自然に仕上げたい方や、金属を使わない治療を希望する方にとっては、有効な選択肢といえるでしょう。
使用される素材にはいくつかの種類があり、それぞれ特徴が異なります。たとえば、見た目が美しいオールセラミックや、強度に優れたジルコニアなどが代表的です。次の章では、それぞれの素材の違いや特徴について詳しくご紹介していきます。
銀歯を白くするときに選択される素材

銀歯を白くするためには、使用する素材の特徴を理解しておくことが大切です。
コンポジットレジン
コンポジットレジンは、歯科用の樹脂(プラスチック)で作られた白い素材です。色味が自然な歯に近いため、見た目もなじみやすく、前歯や小さな虫歯の治療によく使われています。保険が適用されるため、費用を抑えられる点も特徴です。
ただし、長い期間が経つと表面がすり減ったり、変色したりすることがあります。そのため、定期的なチェックとメンテナンスが大切です。
オールセラミック
オールセラミックは、セラミックだけで作られた白い素材です。セラミックは陶器のような素材で、透明感があり、本物の歯にとても近い見た目を再現できます。そのため、前歯など見た目が気になる部分に使われることが多い素材です。
金属が一切使われていないので、金属アレルギーの症状が現れる心配がなく、歯ぐきにやさしいのも特長です。また、長く使っても変色しにくく、美しさを保ちやすい点もメリットです。
ただ、素材としてはやや硬くて割れやすい一面があるため、奥歯など強い力がかかる場所では注意が必要です。見た目を重視したい方には、とても人気のある選択肢です。
ジルコニア
ジルコニアは、人工ダイヤモンドと呼ばれるほど硬い素材です。非常に強度が高く、奥歯のように力がかかる場所でも安心して使うことができます。
また、白く自然な見た目でありながら、長期間使っても割れにくく、耐久性にも優れています。金属が含まれていないため、アレルギーの症状が現れる心配もありません。強さと見た目の美しさを両立したい方にとって、ジルコニアは信頼できる選択肢といえるでしょう。
ハイブリッドセラミック
ハイブリッドセラミックは、セラミックとレジン(樹脂)を混ぜ合わせた素材で、両方の特徴をバランスよく持っています。自然な白さを持ちながらも、ある程度の柔らかさがあり、周囲の歯にもなじみやすいという特徴があります。
費用はオールセラミックやジルコニアに比べて安く、見た目とコストのバランスを重視したい方に選ばれる傾向があります。
銀歯を白くするメリット

銀歯を白くすることで得られる具体的な利点について見ていきましょう。
自然な見た目を再現できる
白い歯科素材を使うことで、まわりの歯と自然になじみ、口を開けたときに目立ちにくくなります。特にオールセラミックやジルコニアといった素材は、透明感があり、本物の歯のような見た目を再現できます。
笑ったときや話すときに銀歯が見えることが気になっていた方にとって、口元の印象が大きく変わるのは大きなメリットです。見た目が自然になることで、自信を持って人と接することができるようになる方も多くいます。
金属アレルギーの心配がない
白い歯科素材の多くは金属を使っていないため、金属アレルギーの原因になりにくいのが特長です。なかには、銀歯に使われている金属に反応して、皮膚にかゆみや湿疹などの症状が出ることもありますが、金属を使わない素材に変えることで、こうした心配を軽減できます。
虫歯が再発しにくい
セラミックなどの素材は、歯との適合性が高く、隙間ができにくいという特性があります。これにより、細菌の侵入が防がれ、虫歯の再発リスクを低減できます。
また、銀歯に比べて変色や劣化が少ないため、長期間にわたって安定した状態を保ちやすい点も利点です。
銀歯を白くする場合の注意点

銀歯を白い素材に変えることには多くのメリットがありますが、治療を行うにあたっては事前に把握しておきたい注意点も存在します。費用や耐久性、治療に伴う処置などを理解したうえで、納得のいく選択をすることが大切です。
選択する素材によっては高額な費用がかかる
オールセラミックやジルコニアなどの素材は、保険適用外の自費診療となることが一般的であり、費用が高額になるケースがあります。使用する素材や治療する部位、歯科医院の方針によって価格は異なりますが、1本あたり数万円から十数万円になることも少なくありません。
見た目や機能性の向上を考えると価値のある投資ではありますが、経済的な負担が伴う点は事前に理解しておきたいポイントです。
銀歯に比べると割れやすい
オールセラミックやハイブリッドセラミックなど、見た目が美しい素材は、硬さの特性上、強い力が加わると割れることがあります。特に、奥歯など噛む力が強くかかる場所では注意が必要です。
素材ごとに強さや耐久性が異なるため、治療を受ける場所や噛み合わせの状態に合わせて、適切な素材を選ぶことが大切です。事前に歯科医師とよく相談し、自分に合った選択をしましょう。
歯を削る必要がある
銀歯を白い素材に交換する際には、古い銀歯を取り除くだけでなく、新しい詰め物・被せ物をぴったり合わせるために、歯の表面を少し削る処置が行われます。これは、見た目やフィット感を良くするために必要な工程です。
どのくらい削るかは、選ぶ素材や治療の方法によって変わります。不安がある場合は、事前に歯科医師に相談し、治療内容や削る範囲についてよく説明を受けておくと安心です。
まとめ

銀歯は、保険診療の範囲で選択できる素材として、多くの人に使われてきました。しっかり噛めて長く使えるという利点がありますが、見た目や金属アレルギーのことが気になって、白い歯に変えたいと考える方も増えています。
白い素材には、オールセラミックやジルコニアなどさまざまな種類があり、それぞれに特徴があります。見た目が自然になるだけでなく、虫歯の再発を防ぎやすい、アレルギーのリスクが少ないなど、メリットも多くあります。
ただし、費用がかかる場合や、治療の際に歯を削る必要があることなど、注意点もあります。まずは歯科医院で相談し、自分の希望やお口の状態に合った治療を選ぶことが大切です。納得のいく選択をして、より健康で美しい口元を目指しましょう。
審美歯科での治療を検討されている方は、尼崎市長洲西通、JR「尼崎駅」南口より徒歩1分にある歯医者「すずき歯科クリニック」にお気軽にご相談ください。
当院は、QOL向上に役立てるよう、5年後、10年後も快適な生活をしていただくための治療を提供しています。患者様の思いに寄り添い、最良の歯科治療を提供するために絶え間なく研鑽を続け、一生安心して通い続けられる歯科医院を目指しています。
当院の診療案内ページはこちら、お電話でご予約も受け付けておりますので、ぜひご覧ください。