歯の詰め物の種類とは?選ぶときや長持ちさせるポイントも
こんにちは。尼崎市長洲西通、JR「尼崎駅」南口より徒歩1分にある歯医者「すずき歯科クリニック」です。

虫歯治療や歯の欠けを補うための詰め物にはさまざまな種類があり、それぞれに特徴やメリットがあります。どの素材を選ぶかによって、見た目や耐久性、費用などに大きな違いが出るため慎重に検討することが大切です。
この記事では、歯の詰め物の種類とその特徴、選ぶときのポイント、さらに長持ちさせるための方法について解説していきます。
歯の詰め物の種類

歯の詰め物にはさまざまな種類があり、それぞれに素材の特性や見た目、費用などが異なります。ここでは、主に使用される詰め物の種類を紹介します。
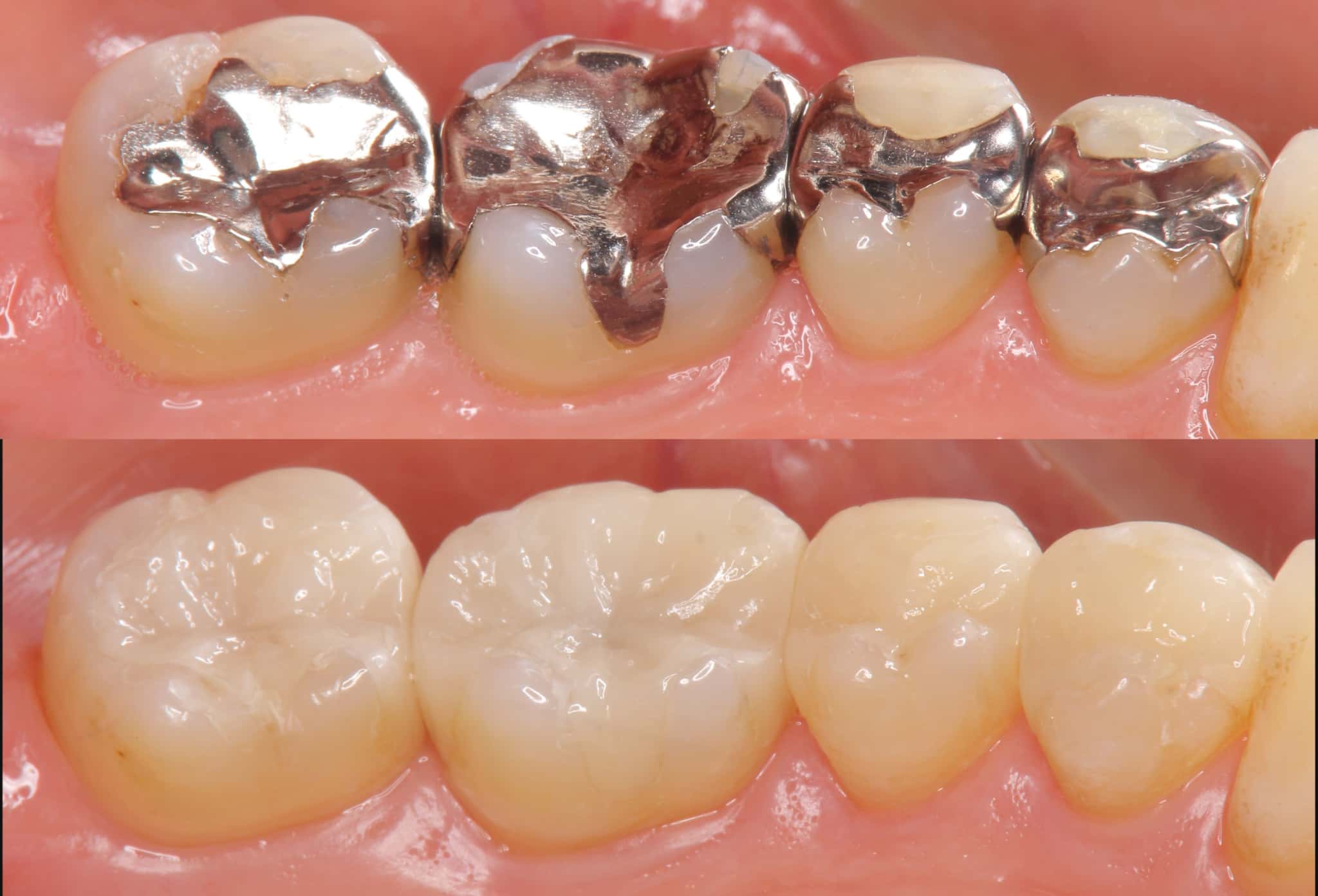
銀歯
銀歯は保険が適用されるため、費用を抑えて治療を受けたい方によく選ばれています。耐久性も高く、特に奥歯のように強い力がかかる部分にも使用可能です。
ただし、銀色のため、口を開けたときに目立つことがあります。また、長年使うことで金属が溶け出し、歯ぐきが黒っぽく変色したように見えるケースもあります。金属アレルギーの症状が現れるリスクがある点も考慮しておく必要があり、金属アレルギーの方は使用できません。
コンポジットレジン
コンポジットレジンは、歯科用のプラスチック素材で、保険適用の詰め物として広く使われています。歯の色に近い自然な見た目を再現でき、主に前歯や小さな虫歯の治療に使われます。銀歯よりも目立ちづらく、費用も安価な点が魅力です。
ただし、経年劣化によって変色しやすく、長く使用していると黄ばんでくることがあります。強度も高くないため、強い力がかかる奥歯には向いていません。
ハイブリッドセラミック
ハイブリッドセラミックとは、セラミックとレジン(樹脂)を混ぜ合わせた素材です。セラミックの美しさとレジンのやわらかさを兼ね備えており、噛み合わせの負担を軽減しやすいのが特徴です。天然歯に近い色合いと透明感があり、前歯にも奥歯にも使いやすい素材です。
さらに、オールセラミックよりも費用を抑えられるため、審美性とコストのバランスを取りたい方に選ばれています。ただし、経年劣化によって表面が変色したりツヤが失われたりすることもあるため、長期的な美しさを重視する場合はほかの素材も検討する必要があります。
オールセラミック
オールセラミックは、素材のすべてがセラミックでできているタイプの詰め物です。特に見た目の美しさに優れており、天然歯に近い透明感と色調が再現できるため、前歯など目立つ部分に多く使われています。また、金属を使用していないため、金属アレルギーのリスクがなく、安心して使えるのも特徴です。
ただし、強い衝撃が加わると欠けたり割れたりすることがあるため、奥歯など強い噛む力がかかる部分には注意が必要です。
ジルコニア
ジルコニアは人工ダイヤモンドとも呼ばれるほど高い強度を持ったセラミック素材です。非常に丈夫で壊れにくく、奥歯など噛む力が強くかかる部位にも使用できることから、人気を集めています。
見た目はやや白っぽく、天然歯よりも少し明るい色調になりますが、金属を使わないため歯ぐきが黒ずむ心配がありません。また、耐久性にも優れており、長期間安定した状態を保ちやすいのも利点です。審美性と強度のバランスを重視する方に選ばれています。
e-max
e-maxは、ニケイ酸リチウムを主成分としたセラミック素材で、高い透明感と自然な色調が特徴です。強度にも優れており、奥歯の詰め物にも使用されることがあります。
オールセラミックと同様に金属を含まないため、金属アレルギーの心配がなく、歯ぐきへの影響も出にくい点がメリットです。審美性を重視しながらもしっかりと噛める詰め物を探している方に人気です。
歯の詰め物を選ぶときのポイント

多くの素材があるなかで、「自分に合った詰め物の素材がわからない」と感じる方は多いのではないでしょうか。ここでは、歯の詰め物を選ぶ際のポイントについて解説していきます。
見た目の自然さ
前歯や笑ったときに見える場所に詰め物を入れる場合、見た目の自然さが重視されます。
たとえば、セラミックは光の透け方や色合いが天然歯に近いため、装着しても違和感が少なく自然な仕上がりになります。保険適用の銀歯や、金属が含まれる素材では、どうしても目立ちやすく審美性の面で不満を感じることも少なくありません。
とくに、人前に出る仕事をしている方や、審美的なこだわりが強い方は、見た目が美しく仕上がる素材を選ぶことが満足度につながります。
耐久性
詰め物を長期間使うことで、摩耗や変形が起こる可能性があります。奥歯のように強い力がかかる部位では、耐久性のある素材を選ぶ必要があるでしょう。
セラミックの中でも、ジルコニアは高い強度を持ち、長期間の使用に耐えやすいとされています。一方で、ハイブリッドセラミックのような素材は経年変化が起こりやすく、使う部位によっては耐久性が不十分なこともあります。
治療部位なども考慮して、治療に使用する素材を選ぶ必要があります。
口腔内との適合性
詰め物は、口の中で異物感なく、しっかりと安定して機能することが求められます。人工物である以上、天然の歯と完全に同じように使えるわけではありませんが、噛み合わせや歯列のバランスに配慮した設計・調整がされていれば、長く快適に使い続けることができます。
価格
歯の詰め物は、素材によって価格に大きな差があります。保険が適用される素材であれば自己負担を抑えられますが、見た目や耐久性の面で制限があることもあります。自由診療の素材は費用は高額になりますが、より自然な見た目や高い耐久性を得られます。
見た目を重視したいのか、費用を抑えたいのか、自分の希望に合ったバランスを考えることが大切です。歯科医師に相談したうえで、自分に合ったものを選びましょう。
詰め物を長持ちさせるためのポイント

詰め物を長く使うには、毎日のケアと定期的なメンテナンスが欠かせません。以下のポイントを意識することで、詰め物の寿命を延ばせるかもしれません。
生活習慣に気を付ける
氷や飴などの硬いものを頻繁に噛む、就寝中に歯ぎしりをする、頬杖をつくといった癖は、詰め物に過度な負担をかける原因となります。そのような習慣を見直すことは、詰め物の寿命を延ばすうえで非常に重要です。
また、歯ぎしりの癖がある方は、ナイトガード(マウスピース)の使用が推奨されることもあります。
定期的に歯科検診を受ける
歯の詰め物を長期間にわたって使い続けるためには、定期的な歯科検診を受けることがとても重要です。検診では、詰め物の状態やまわりの歯の健康状態をチェックしてもらうことができます。早い段階で小さなトラブルに気づくことができれば、修理や再治療が簡単に済み、結果的に大がかりな治療を避けられるでしょう。
また、検診時には、噛み合わせのずれや歯ぎしりの有無、虫歯の再発などについてもしっかりと確認されます。こうしたチェックを受けることで、詰め物だけでなく、お口全体の健康を守ることにもつながります。
どんなに丁寧にセルフケアをしていても、プロの目で見ないと気づけない問題があるため、年に2〜4回のペースで検診を受ける習慣を持っておくと安心です。
適切なセルフケアを行う
毎日の歯みがきを丁寧に行うことは、詰め物を清潔な状態で保つうえで欠かせません。特に、歯と詰め物の境目は汚れがたまりやすく、虫歯が再発しやすい箇所でもあります。
歯ブラシだけでなく、デンタルフロスや歯間ブラシなども活用し、細かい部分までしっかり清掃する習慣を身につけましょう。日々の積み重ねが、トラブルの予防につながります。
まとめ

歯の詰め物にはさまざまな種類があり、素材によって見た目や耐久性、価格などが異なります。銀歯やコンポジットレジンは保険適用で安価に治療できますが、見た目の自然さや耐久性で制限があります。オールセラミックやジルコニア、e-maxなどの自由診療の素材は高額ですが、高い審美性と耐久性が得られます。
自分に合った詰め物を選ぶには、見た目や耐久性、価格のバランスを考えることが大切です。正しい知識を持って、納得のいく選択をしましょう。
歯の詰め物を検討されている方は、尼崎市長洲西通、JR「尼崎駅」南口より徒歩1分にある歯医者「すずき歯科クリニック」にお気軽にご相談ください。
当院は、QOL向上に役立てるよう、5年後、10年後も快適な生活をしていただくための治療を提供しています。患者様の思いに寄り添い、最良の歯科治療を提供するために絶え間なく研鑽を続け、一生安心して通い続けられる歯科医院を目指しています。
当院のホームページはこちら、お電話でご予約も受け付けておりますので、ぜひご覧ください。

06-6487-4618