重度の歯周病とはどんな状態?主な症状や治療法などを詳しく解説

2026年04月16日(木)
歯のコラム

こんにちは。尼崎市長洲西通、JR「尼崎駅」南口より徒歩1分にある歯医者「すずき歯科クリニック」です。

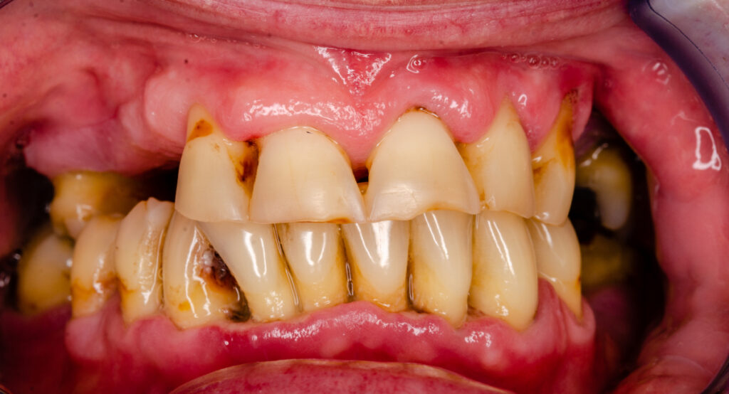
重度の歯周病の歯

歯周病は、初期段階では自覚症状がほとんどないまま進行することが多い病気です。いつの間にか進んでいる場合が多く、気づいたときには重度まで進行しているケースも少なくありません。重度まで進行すると、歯を支える骨が大きく失われ、最悪の場合、歯が抜け落ちるリスクが高まります。

また、治療が複雑化し、費用や通院回数も増えるため、できるだけ早期の段階で対処することが望まれます。さらに、近年の研究では、歯周病が全身の健康にも悪影響を及ぼす可能性が指摘されており、口腔ケアの重要性はますます高まっています。

この記事では、重度の歯周病とはどのような状態か、主な症状や原因、治療法についてわかりやすく詳しく解説します。

歯周病とは

歯周病の様子

歯周病とは、歯を支えている歯槽骨や歯ぐきなどの歯周組織に炎症が生じる病気です。初期段階では歯肉炎と呼ばれ、歯ぐきに軽い炎症が起こります。やがて炎症が深部に進むと歯周炎へと進行して歯を支える骨が破壊されていき、最終的に歯を失うこともあります。

初期の歯周病は自覚症状が少なく、気づかないうちに進行することが多いのが特徴です。

歯周病の主な原因

歯周病の主な原因は歯垢(プラーク)です。プラークとは細菌の塊のことで、歯と歯ぐきの境目に付着しやすく、これが時間とともに歯石へと変化します。プラークや歯石がたまると、細菌が出す毒素によって歯ぐきに炎症が広がり、歯周組織が破壊されていきます。

また、喫煙や糖尿病、ストレス、偏った食生活、口呼吸、歯並びの悪さ、合っていない被せ物なども歯周病リスクを高める要因です。さらに、加齢とともに免疫力が低下することで、歯周病が進行しやすくなるともいわれています。

重度の歯周病の主な症状

重度の歯周病の主な症状

重度の歯周病になると、以下のような症状が現れることがあります。思い当たることがある方は、早めに歯科医師に相談しましょう。

歯が揺れる・ぐらつく

歯周病が進行すると、歯を支える骨(歯槽骨)が溶けていきます。その影響で、歯がしっかりと固定されなくなり、次第に揺れたりぐらついたりするようになります。

はじめは噛んだときに違和感を覚える程度でも、進行すると指で触れるだけで動くようになり、最終的には抜け落ちることもあります。歯の動揺が見られた場合は、すでに歯槽骨が大きく失われている可能性が非常に高く、早急な治療が必要です。

歯ぐきが腫れる・膿が出る

歯ぐきが腫れている場合や歯ぐきを押すと膿が出てくる場合は、歯周病菌による感染が進行しているかもしれません。膿の存在は歯周組織内で炎症が慢性化している証拠であり、放置すると炎症がさらに深部に達し、隣接する歯にも悪影響を及ぼす可能性があります。

歯ぐきが下がる

歯ぐきが徐々に下がってきたと感じるのも、重度の歯周病の大きなサインです。歯ぐきが下がり続けると、歯の根元が露出し、見た目の印象が大きく変わります。年齢のせいだと片づける人も多いですが、実際には歯周病による影響である場合がほとんどです。

歯ぐきが痩せていくことで歯が長く見えるようになり、口元の印象にも影響を与えます。

口臭が強くなる

歯周病が進行すると、口臭が強くなることがあります。歯周ポケットの中に溜まった膿や細菌が原因となり、不快なにおいを発するためです。口臭は自分では気づかないことも多く、家族や周囲の人に指摘されて初めて気づくケースも多いです。

舌の表面に汚れ(舌苔)がついている場合も、細菌の繁殖や口臭の原因になります。歯磨きや舌のケアなど、適切な口腔ケアを心がけましょう。

重度の歯周病の治療法

重度の歯周病の治療法

中等度までの歯周病であれば、歯石除去や日常的なケアの徹底などで改善が見込めますが、重度になるとそれだけでは追いつきません。歯周ポケットが6mm以上の状態では、歯の根の奥や歯ぐきの深部にまで汚れや細菌が入り込んでおり、通常のクリーニングでは取り切れないことが多いためです。

このような状態に対しては、より専門的な治療が必要になります。口腔内全体をしっかりと検査したうえで、患者さま一人ひとりに合った治療計画が立てられます。ここでは、重度の歯周病に対して行われる代表的な治療法を紹介します。

歯周外科治療

歯周ポケットが深い場合には、歯ぐきを切開して清掃を行う歯周外科治療が必要になります。歯周外科治療には、フラップ手術や歯周組織再生療法などがあります。以下でそれぞれを詳しく解説します。

フラップ手術

フラップ手術とは、歯ぐきを切開して歯の根元まで達している汚れや炎症組織を除去する治療法で、歯周ポケットの深さを浅くして再発を防ぐことが目的です。スケーリングやルートプレーニングでは取りきれなかった深い歯周ポケットに付着した歯石を、直接目で確認しながら徹底的に取り除きます。

手術は局所麻酔下で行われ、数本の歯を一度に処置することが可能です。術後は縫合を行い、数日後に抜糸します。

痛みや腫れの出方は個人差がありますが、処方された鎮痛剤や抗生物質でコントロールできることが多いです。適切な術後ケアを行うことで早期回復が期待できます。

フラップ手術は、歯周病の進行を止めるために欠かせない治療法の一つで、歯の保存を目指すうえで非常に有効です。

歯周組織再生療法

歯周組織再生療法は、歯周病によって失われた骨や歯根膜などの歯周組織を再生させるための外科的治療法です。主に使用されるのが、エムドゲインやリグロスといった再生誘導材料です。これらの薬剤を歯周ポケット内部に適切に充填することで、歯槽骨などの組織が再び形成されるよう促します。

ただし、歯周組織再生療法が可能かどうかは、歯の動揺の程度や残存骨の状態、患者さまの年齢や全身の健康状態などによって異なります。そのため、まずは歯科医師による精密な診断を受けることが重要です。

また、再生後の組織を安定させるためには、治療後の口腔ケアと定期的なフォローアップも意識しましょう。

抜歯

重度の歯周病によって強いぐらつきや膿の排出、強い炎症がみられる場合には、抜歯が選択されることがあります。すでに歯が機能を果たせないほどに破壊されているケースでは、周囲の歯や顎骨への悪影響を防ぐためにも、感染源を確実に取り除くことが重要です。

歯を抜いた後は、入れ歯やブリッジ、インプラントなどで噛み合わせを回復させる補綴治療が検討されます。見た目や噛む力の回復だけではなく、残った歯に過度な負担がかからないようにする目的もあります。

歯周病が悪化しないようにする方法

歯周病が悪化しないようにするためのバランスのとれた食事

歯周病が悪化しないようにするためには、毎日のケアと定期的な歯科検診が欠かせません。

歯ブラシはふつうからやわらかめのものを使い、歯と歯ぐきの境目を意識して小刻みに丁寧に磨くようにしましょう。強く磨きすぎると歯ぐきを傷つけるおそれがあるため、注意が必要です。

デンタルフロスや歯間ブラシを使って歯と歯の間の汚れをしっかり取り除くことも意識しましょう。これらを使うことで、プラークの蓄積を防げ、歯周病が進行するリスクを大幅に下げられます。

歯磨きだけではなく、生活習慣の見直しも欠かせません。バランスのとれた食事を心がけ、ビタミンやミネラルをしっかり摂取することで口の中の健康を支えられます。

また、喫煙は歯周病を悪化させる原因の1つです。たばこに含まれる有害物質は血流を悪くし、歯ぐきの回復力を低下させます。歯周病の改善・進行防止を目指すなら禁煙することが望ましいでしょう。

さらに、ストレスを減らす工夫も大切です。強いストレスは免疫機能を低下させ、歯周病の悪化を招くことがあるため、心と体のバランスを整えることも予防の一部といえます。

そして、何より重要なのが定期的な歯科医院でのチェックとクリーニングです。自分では取りきれない歯石や汚れをプロの手で取り除き、炎症の有無を早い段階で把握することで、重症化を未然に防げます。一般的には3か月から6か月ごとの通院が推奨されています。

まとめ

歯周病が治った女性

重度の歯周病は、放置すると歯を失う原因になり、全身の健康にも影響を及ぼす可能性があります。歯がぐらつく、歯ぐきから膿が出るといった症状が出たときには、すでに重症化しているかもしれません。自覚症状がなく進行することが多いため、予防や早期発見・早期治療がとても重要です。

生活習慣やセルフケアを見直し、歯周病の進行を食い止める努力を続けることで、歯の健康を守っていきましょう。

歯周病の治療を検討されている方は、尼崎市長洲西通、JR「尼崎駅」南口より徒歩1分にある歯医者「すずき歯科クリニック」にお気軽にご相談ください。

当院は、QOL向上に役立てるよう、5年後、10年後も快適な生活をしていただくための治療を提供しています。患者様の思いに寄り添い、最良の歯科治療を提供するために絶え間なく研鑽を続け、一生安心して通い続けられる歯科医院を目指しています。

当院の診療案内ページはこちら、お電話でご予約も受け付けておりますので、ぜひご覧ください。

すずき歯科クリニック

営業時間

診療時間
9:00 - 12:30
14:00 - 19:00
【休診日】日曜・祝日
=9:00 - 13:30