コラム
-
2026.04.16
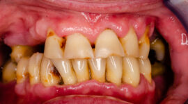
重度の歯周病とはどんな状態?主な症状や治療法などを詳しく解説
こんにちは。尼崎市長洲西通、JR「尼崎駅」南口より徒歩1分にある歯医者「すずき歯科クリニック」です。 歯周病は、初期段階では自覚症状がほとんどないまま... (続きを読む) 歯のコラム -
2026.04.09
プレオルソとは?メリットや費用、治療の流れも解説
こんにちは。尼崎市長洲西通、JR「尼崎駅」南口より徒歩1分にある歯医者「すずき歯科クリニック」です。 小児矯正を検討されている保護者の方のなかには、プ... (続きを読む) 歯のコラム -
2026.04.02
入れ歯とインプラントの違いは?メリット・デメリットや選び方
こんにちは。尼崎市長洲西通、JR「尼崎駅」南口より徒歩1分にある歯医者「すずき歯科クリニック」です。 歯を失った時は、入れ歯やインプラントといったさま... (続きを読む) 歯のコラム -
2026.03.26
歯のブリッジとは?治療の流れやメリット、デメリットも
こんにちは。尼崎市長洲西通、JR「尼崎駅」南口より徒歩1分にある歯医者「すずき歯科クリニック」です。 歯を失うと、見た目の問題だけでなく、噛む力の低下... (続きを読む) 歯のコラム -
2026.03.19
八重歯のままではいけない?矯正治療の方法と費用、治療期間も
こんにちは。尼崎市長洲西通、JR「尼崎駅」南口より徒歩1分にある歯医者「すずき歯科クリニック」です。 八重歯は、日本ではチャームポイントと捉えられるこ... (続きを読む) 歯のコラム -
2026.03.12
急速拡大装置ってどんな装置?治療の仕組みとメリットを解説
こんにちは。尼崎市長洲西通、JR「尼崎駅」南口より徒歩1分にある歯医者「すずき歯科クリニック」です。 急速拡大装置は、歯列の幅を広げるために用いられま... (続きを読む) 歯のコラム -
2026.03.05
歯の詰め物の種類とは?選ぶときや長持ちさせるポイントも
こんにちは。尼崎市長洲西通、JR「尼崎駅」南口より徒歩1分にある歯医者「すずき歯科クリニック」です。 虫歯治療や歯の欠けを補うための詰め物にはさまざま... (続きを読む) 歯のコラム -
2026.02.26
セラミックの歯とは?種類やメリット、デメリットを解説!
こんにちは。尼崎市長洲西通、JR「尼崎駅」南口より徒歩1分にある歯医者「すずき歯科クリニック」です。 セラミックの歯は、見た目の美しさと高い耐久性を兼... (続きを読む) 歯のコラム -
2026.02.19
インプラント治療は痛い?痛みがあるときの対処方法も解説
こんにちは。尼崎市長洲西通、JR「尼崎駅」南口より徒歩1分にある歯医者「すずき歯科クリニック」です。 インプラント治療は、失った歯を人工歯根で支える安... (続きを読む) 歯のコラム -
2026.02.12
親知らずはいつ頃生えてくる?生える時期と抜歯の必要性
こんにちは。尼崎市長洲西通、JR「尼崎駅」南口より徒歩1分にある歯医者「すずき歯科クリニック」です。 親知らずは、口の奥に位置するため、虫歯や歯周病な... (続きを読む) 歯のコラム -
2026.02.05
出っ歯を矯正する方法や費用!矯正開始前に押さえておきたい基礎知識
こんにちは。尼崎市長洲西通、JR「尼崎駅」南口より徒歩1分にある歯医者「すずき歯科クリニック」です。 前歯が前方に突出している出っ歯は、見た目の印象に... (続きを読む) 歯のコラム -
2026.01.29
床矯正とはどんな矯正方法?メリットや費用も
こんにちは。尼崎市長洲西通、JR「尼崎駅」南口より徒歩1分にある歯医者「すずき歯科クリニック」です。 歯並びの乱れは、見た目だけでなく、噛み合わせや発... (続きを読む) 歯のコラム